Zdravlje

Inovativna terapija karcinom pluća pretvara u hroničnu bolest

Komentari
Inovativna terapija karcinom pluća pretvara u hroničnu bolest
Inovativna terapija karcinom pluća pretvara u hroničnu bolest - Copyright profimedia

Autor: Tanjug

01/08/2023

-

11:11

veličina teksta

Aa Aa

Poražavajuća statistika po kojoj na svaka dva sata u Srbiji umre jedna osoba od karcinoma pluća, poslednjih nekoliko godina donekle se promenila nabolje uvođenjem inovativne terapije, koja je dala nadu da ta bolest ipak može da se drži pod kontrolom.

Međutim, ta terapija je dostupna samo određenom broju pacijenata i trenutno je dobija nešto više od 700 obolelih, dok godišnje gotovo 7.000 ljudi oboli, poručili su danas iz Udruženja "Punim plućima", povodom Svetskog dana borbe protiv raka pluća. 

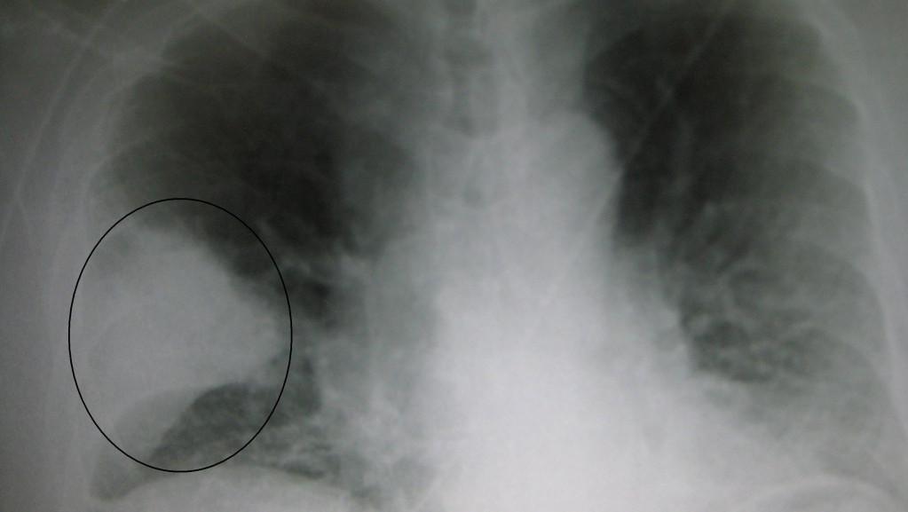
Rak pluća je jedan od najagresivnijih i najmalignijih karcinoma i kod žena i kod muškaraca, a godišnje u Srbiji od te bolesti umre više od 5.000 osoba, navodi se u saopštenju.

"Na svaka dva sata u Srbiji jedna osoba premine od karcinoma pluća, a gotovo 7.000 ljudi godišnje dobije ovu dijagnozu. Jedan od najvažnijih preduslova uspešnog lečenja je rano otkrivanje raka pluća, što u Srbiji nije slučaj, jer se kod više od 70 odsto pacijenata otkrije u poslednjem stadijumu. Tada su šanse za uspešno izlečenje gotovo iscrpljene. Karcinom pluća je podmukla bolest, jer u trenutku kada se osete prvi simptomi većina bolesnika je već u metastatskom stadijumu bolesti", objašnjavaju iz Udruženja.

Kako se navodi simptomi u početku mogu da budu vrlo nespecifični - kašalj koji duže traje i ne prolazi na primenu antibiotika, prolongirano febrilno stanje, malaksalost, gubitak apetita, bolovi u grudima.

Dodaje se da dodatni problem predstavlja činjenica da većinu obolelih od karcinoma pluća, predstavljaju pušači koji su već navikli na kašalj i iskašljavanje i to ih zavara, pa ne primete kada kašalj postane uporniji, izraženiji i promeni intenzitet, a upravo u tom periodu često se izgubi dragoceno vreme, bolest uznapreduje, terapijske mogućnosti se smanje, a prognoza bolesti postane značajno lošija.

Važne analize

Jedna od pacijentkinja Aleksandra Stojković kaže da je slučajno otkrila karcinom pluća, kada je rešila da prekontroliše krvnu sliku.

"Na analizi mi se pokazalo da su mi uvećana dva tumor markera, pri čemu sam ja redovno išla na ginekološke preglede. Naravno da sam analize ponovila u drugoj laboratoriji, ali sam dobila isti rezultat. Odmah sam otišla na pregled kod ginekologa, međutim, sve je bilo u redu. Sa svim tim rezultatima otišla sam kod onkologa. I dalje sam samu sebe zavaravala da je sigurno neka greška", ispričala je Stojaković.

Wikipedia.org/James Heilman, MD

 

Dijagnoza joj je, kaže, potvrđena u februaru 2020. godine. 

"Saznala sam da imam adenokarcinom i da imam genetske mutacije, što je sreća u nesreći. Te mutacije znače da postoji način lečenja koji je mnogo manje agresivan, nije u pitanju hemioterapija. Na ovu vrstu karcinoma deluje ciljana terapija, koju i dobijam. Sa ovom terapijom živim potpuno normalno. Nemam organičenja, da nešto ne mogu. Već godinu i po dana nema nikakvih promena. Nisam još došla u stadijum da nema vidljive bolesti, ali kod mene je sve mirno, nemam novih promena. I to puno znači", kaže Aleksandra. 

Još jedna pacijentkinja iz Udruženja "Punim plućima" je i Đurđina Jovanović, kojoj je rak pluća dijagnostikovan u januaru 2020. godine, kada je na predlog neurologa uradila skener grudnog koša, zahvaljujući kojem je saznala da ima kancer pluća koji je metastazirao na jetri i pleuri. 
"Na konzilijumu je doneta odluka da ću primati imunoterapiju. Za mene to u tom trenutku nije imalo nikakvog značaja, jer o dejstvu tih terapija nisam imala nikakva saznanja. Čekajući terapije, moje zdravstveno stanje bivalo je sve gore. Bila sam 17 kilograma mršavija, otežano sam disala, jedva sam hodala. Želela sam smrt, jer mi se činilo da je to jedino rešenje. Nakon odluke RFZO bila sam među prvim pacijentima koji mogu da primaju terapije o trošku države. Nisam ni slutila da ću se osećati bolje posle primanja samo prve terapije. To mi je dalo nadu da ću živeti duže nego što sam mislila", rekla je ona.

Dodaje da su vremenom kontrolni izveštaji skenera o stanju njenih promena bili sve kraći, tako da je posle nekog vremena svoju bolest svela na stabilnu.

Imunoterapija

"Zahvaljujući imunoterapiji metastaze su nestale, pa lekarski kozilijum donosi odluku da me uputi na X nož. Nakon terapija X nožem nestao je i primarni tumor. Praktično ja nemam više tumorsko tkivo. Ne mogu reći da sam u potpunosti izlečena, jer i dalje idem na kontrole i primam terapije, ali sam zalečena", kaže Đurđina.

Načelnica Odeljenja za molekularnu i imunoterapiju karcinoma pluća, Klinike za pulmologiju UKC Srbije Milica Kontić Jovanović kaže da danas ne treba gubiti nadu ako se ustanovi ta dijagnoza, jer uz pomoć savremenih terapija, koje se u Srbiji dobijaju o trošku osiguranja, rak pluća više ne mora da bude smrtonosna, već postaje hronična bolest.

"Pre tri godine država je prepoznala problem pacijenata i uvela savremene imunološke i ciljane terapije za lečenje raka pluća, uz pomoć kojih oboleli u najvećem broju slučajeva mogu dugi niz godina kvalitetno da žive. Trenutno je nešto više od 700 obolelih na savremenim terapijama", rekla je ona.

Profimedia

 

Kontić objašnjava da prema svetskim vodičima sama hemioterapija više nije prvi terapijski izbor u lečenju karcinoma pluća, već ju je u potpunosti zamenila inovativna terapija, što  predstavlja revolucionarnu promenu u lečenju bolesti.

"Preko 30 odsto pacijenta sa metastaskim karcinomom pluća, koji se leče imunoterapijom u prvoj liniji lečenja, ostvaruje petogodišnje preživljavanje, što je sa hemioterapijom bilo nezamislivo. Sledeći veliki korak bi trebalo da bude proširenje indikacija za lečenje ovim vidovima terapije - primena kombinovane imuno i hemioterapije, primena imunoterapije u drugoj ili kasnijim linijama lečenja kao i ciljana terapija za pacijente koji imaju retke drajver mutacije", rekla je Kontić.

Kako kaže najnovija istraživanja potvrdila su značajno duže vreme do progresije bolesti kao i ukupno preživljavanje za pacijente koji se leče inovativnom terapijom u ranim stadijumima bolesti i u adjuvantnom pristupu, što je od nedavno postao standard lečenja prema aktuelnim svetskim vodičima.

Komentari (0)

Magazin